שחיקת שיניים – ברוקסיזם - ד"ר אבידן לרון

שחיקת שיניים הינה תופעה שכיחה המופיעה אצל כ-8% מהאוכלוסייה.

זו תופעה לא רצונית, מתרחשת בעיקר בלילה, בזמן השינה, אך יכולה להתרחש גם במהלך היום.

שחיקת השיניים שכשמה כן היא, נגרמת מפעילות לא רצונית של שרירי הלעיסה שמזיזים את הלסתות, תוך הפעלת כוחות חזקים ביותר, שגורמת לשחיקה והרס מוגבר של חומר השן.
במקרים קיצוניים, יכולה כל כותרת השן להשחק עד לגובה החניכיים.

שחיקת שיניים

שחיקת השיניים נפוצה אצל מבוגרים וגם אצל ילדים במיוחד בשלבים המוקדמים של התפתחות הלסתות.

שחיקת השיניים גורמת לבעיות רבות:

  • הרס רב של חומר שן

  • שברים וסדקים בשיניים                  

  • רגישות יתר בשיניים

  • כאבי ראש

  • כאבים במפרקי הלסת ובשרירי הלעיסה

  • כאבי צוואר

  • נזק למפרקי הלסת שיכול להתבטא בנעילת לסתות, קשיים בפתיחת הפה, קליקים-רעשים במפרק הלסת וכו'

  • צלצולים –  טינטון  באוזנים

שחיקת שיניים

מה הגורמים לשחיקת שיניים:

הגורמים העיקריים לשחיקת שיניים רבים ומגוונים ויכול להיות גם שילוב של מספר גורמים לשחיקת השיניים. הגורמים השכחים הם: 

  • מתח נפשי, לחץ, תיסכול, וכעסים 

  • בעיות במערכת העיצבית, הפוגעות בשיווי משקל של המערכת.

  • מחלות מסוימות לדוגמא טורט או אפילפסיה.

  • תרופות מסוימות למשל תרופות כנגד דיכאון

  • בעיות סגריות בשיניים

דרכי הטיפול בשחיקת השיניים ובבעיות הנגרמות ממנה:

שלב ראשון בטיפול מחייב אבחנה של הבעיה ושל הגורמים האפשריים לה.

לשם כך דרוש רופא שיניים מומחה בנושא ובעל נסיון רב בתחום.

לאחר האבחנה ניתן לגשת לטיפול שמתחלק לשניים:

  • מניעת או צמצום השחיקה מעכשיו והלאה
  • טיפול בנזקים שנגרמו  משחיקת השיניים

במניעה בודקים אם ניתן לטפל בגורמים שהביאו לשחיקת השיניים, הבאה למודעות של המטופל, על מנת שינסה להמנע מהפעילות של שחיקת השיניים.

הורדת מתח ולחץ, נסיון לטפל בגורמים להם.

שינוי תרופתי אם צריך.

טיפול בשיניים אם בהם יש גורמים התורמים לשחיקת השיניים.

ובמקביל טיפול בסד סגרי,- סד לילה, התקן המורכב על השיניים בלסת העליונה או התחתונה ומונע פיסית את שחיקת השיניים ובמקביל גורם להרפייה של שרירי הלעיסה.

בנזקים שנגרמו על ידי שחיקת השיניים יש לטפל בעזרת טיפול משמר או משקם, שחזורים מסוגים שונים בהתאם למידת שחיקת השיניים.

השלמת שיניים יכולה להיות בעזרת חומרים מרוכבים, כמו של סתימות לבנות. שחזורים יצוקים, מילוראות, אונליי.

ציפויי חרסינה וכתרים במקרים קיצוניים.

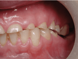
מקרה 1

שחיקת שיניים
שחיקת שיניים

מקרה 2

שחיקת שיניים
שחיקת שיניים

לסיכום:

שחיקת שיניים היא תופעה שכיחה, אך דורשת התייחסות על ידי רופאים מומחים בתחום.

פוטנציאל הנזק הוא גדול אך יכול להימנע על ידי טיפול מונע בשלבים המוקדמים של שחיקת השיניים.

במקרים בהם הנזק כבר נעשה , יכול רופא שיניים מומחה בתחום לשקם את הפה ולהחזיר לו מראה אסתטי ותיפקוד תקין.